Google Rating
5.0
Google Rating
Listen to CHRIS talking about the RESULT OF HIS DENTAL TREATMENT

Cases

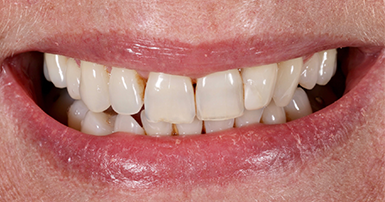
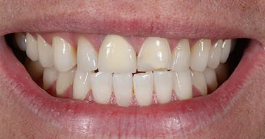
Alice

Smile makeover using porcelain veneers

Learn More
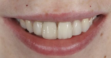
Claudia

Smile makeover by replacing old porcelain veneers with 10 new…

Learn More
Ella

Smile Makeover involving ceramic braces, teeth whitening and composite bonding

Learn More
Ella

Smile Makeover involving ceramic braces, teeth whitening and composite bonding

Learn More
Steven

Smile Makeover involving teeth whitening and 6 porcelain veneers

Learn More
Jeanette

Smile Makeover involving teeth whitening and 10 upper porcelain veneers

Learn More
>

Testimonials

google rated
k

Jess

g logo
star1 star2 star3 star4 star5

“I had a consultation with Dr. Dodd after seeing his work on Instagram, and I'm SO glad that I did! After having a few consultations at other clinics, I could tell that he was going to give the best treatment plan for me personally. Dr Dodd talked me through different options, and recommended the best plan in order to get the results that I wanted, his suggestions were not driven by cost or ease, as I found with other places that I had been to, but simply how we could achieve the best result possible! After thinking about the different options, I decided to get the secret smile brace, followed by whitening and the composite bonding. Throughout the whole process, Dr Dodd was really professional, informative, and just lovely to talk to! You can tell that he is a perfectionist with his work, and takes so much pride in his job. I would definitely recommend him to anybody wanting this kind of treatment - In fact my fiancé has just booked in to have the same plan after seeing my results.

k

N. Louise

g logo
star1 star2 star3 star4 star5

“I visited Stephen for the second time, this time going to visit his new practice, which was absolutely stunning. There isn't anyone else I would trust with my facial aesthetics and this time the effects have been the best yet. The staff were all amazing and made me feel so welcome. I couldn't recommend it more.

k

L. Potter

g logo
star1 star2 star3 star4 star5

“Stephen and the team at Ringway dental have been fab! They have been great throughout my whole experience over the last 12 months with the initial change of my teeth and the braces. Special shout out to Jade too as she’s always a smiling, a friendly face and a credit to Stephen's team. I look forward to continuing my journey with Stephen and team in the coming months/years after my baby. I’m that step closer to the teeth I want thanks to these guys and I couldn’t recommend them more if I tried!

k

R. Cowling

g logo
star1 star2 star3 star4 star5

“I can't thank Stephen, Jade and the Ringway team enough! The process of receiving my new smile has been flawless; from coordinating appointments to accommodate for the travel, feeling extra safe in the surgery with the covid protocols they have in place, and the absolutely impeccable work Stephen has done. I wouldn't hesitate to recommend Ringway to anyone considering a smile makeover!

k

E. Curvis

g logo
star1 star2 star3 star4 star5

“My experience at Ringway Dental so far has been positive.Excellent customer service from |Stephen and his wonderful team. They put me at ease straight away.I felt very safe in the surgery with the covid protocols.Once again thank you to Stephen,Jade and his staff.

k

M. Pimas

g logo
star1 star2 star3 star4 star5

“An exceptional treatment from the moment you enter the door. Comforting if you are not comfortable around dentists and the team is very well trained and experienced. They have also adapted well during Covid and taken good hygienic measures. I would definitely recommend them if you seek your go to dental practice.

View More
carequality commission logo1

Accessible to motorways

carequality commission logo1

On-site Parking

carequality commission logo1

Up to 12 months interest free finance

Ringway Dental
whatsapp facebook instagram LinkedIn

RingWay dental Cheadle

RingWay dental Altrincham

Google Rating
5.0
Google Rating
Google-review
Reviews
Dental Services
Rated 5/5 based on 1121 customer reviews