Google Rating
5.0
Google Rating
Face - Ringway Dental
Before - Ringway Dental

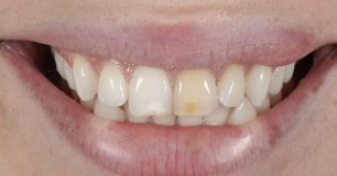
BEFORE

After - Ringway Dental

AFTER

Smile makeover using porcelain veneers

If you would like more information regarding this treatment
Contact Us Or 0161 437 2029
Back to Smile Gallery

Get in touch

Categories

carequality commission logo1

Accessible to motorways

carequality commission logo1

On-site Parking

carequality commission logo1

Up to 12 months interest free finance

Ringway Dental
whatsapp facebook instagram LinkedIn

RingWay dental Cheadle

RingWay dental Altrincham

Google Rating
5.0
Google Rating
Google-review
Reviews
Dental Services
Rated 5/5 based on 1121 customer reviews