Google Rating
5.0
Google Rating

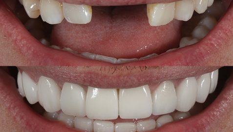
How Much Does a Dental Crown Cost?

Restorative dental treatments can be costly, and many of our patients do, therefore, ask about the how much dental crowns cost. In the UK, the cost for a crown can range from £750 - £1,500 per tooth. The cost of…

Read More

How Much Does Composite Bonding Cost?

Composite bonding is a relatively straightforward cosmetic dental technique that can be used to uplift smiles in a range of situations. It’s frequently used following emergencies such as dental trauma that has resulted in a cracked or chipped tooth. Many…

Read More

How Do Veneers Work?

If you’ve ever admired a flawless celebrity smile, it’s likely thanks to dental veneers. These versatile and minimally invasive cosmetic treatments can transform your teeth, boosting both your confidence and oral health. But how exactly do veneers work? Let’s dive…

Read More

Are there any risks with straightening crooked teeth?

If you are looking for orthodontic treatment, you will likely have plenty of questions about how the teeth straightening process will go. Risks and side effects of tooth straightening procedures are relatively minor and can usually be managed with a…

Read More

4 Easy Ways to Prevent Tooth Decay

Tooth decay happens when plaque develops on the surface of the teeth. It often mixes with natural food sugars or additives, creating a strong acid that can eventually erode the enamel on the surface of teeth. Symptoms of tooth decay…

Read More

How to Know You Might Need Braces

Braces can solve a wide variety of dental and orthodontic issues, whether they are linked to your appearance or the functionality of your teeth. If you feel your smile isn't quite right, braces might be exactly what you need. But…

Read More

Get in touch

carequality commission logo1

Accessible to motorways

carequality commission logo1

On-site Parking

carequality commission logo1

Up to 12 months interest free finance

Ringway Dental
whatsapp facebook instagram LinkedIn

RingWay dental Cheadle

RingWay dental Altrincham

Google Rating
5.0
Google Rating
Google-review
Reviews
Dental Services
Rated 5/5 based on 1121 customer reviews